Can Giving Birth Cause Hip Dysplasia In Dogs . Hip dysplasia is a common inherited disease in dogs. How can i tell if my dog has hip dysplasia? Your dog likely doesn't have hip dysplasia if their lameness begins suddenly or progresses rapidly, the lameness is severe, they can't move well. How do dogs get hip dysplasia?. Hip dysplasia is considered to be a “developmental” disease rather than congenital (a disease present at birth), so a dog can have. Managing the risk of hip dysplasia remains a challenge for breeders and dog owners. Although any dog can be affected, hip dysplasia is predominantly seen in larger dogs such as german shepherds, saint bernards,. It can be very painful and can cause other conditions, such as arthritis. Written by webmd editorial contributor. Dogs neutered before 6 months have a higher risk of developing hip dysplasia.
from www.pinterest.com
Hip dysplasia is a common inherited disease in dogs. How do dogs get hip dysplasia?. Although any dog can be affected, hip dysplasia is predominantly seen in larger dogs such as german shepherds, saint bernards,. Written by webmd editorial contributor. Hip dysplasia is considered to be a “developmental” disease rather than congenital (a disease present at birth), so a dog can have. It can be very painful and can cause other conditions, such as arthritis. Dogs neutered before 6 months have a higher risk of developing hip dysplasia. How can i tell if my dog has hip dysplasia? Managing the risk of hip dysplasia remains a challenge for breeders and dog owners. Your dog likely doesn't have hip dysplasia if their lameness begins suddenly or progresses rapidly, the lameness is severe, they can't move well.
How To Help a Dog With Hip Dysplasia (13 Different Ways) Dog hip
Can Giving Birth Cause Hip Dysplasia In Dogs Your dog likely doesn't have hip dysplasia if their lameness begins suddenly or progresses rapidly, the lameness is severe, they can't move well. Managing the risk of hip dysplasia remains a challenge for breeders and dog owners. Hip dysplasia is considered to be a “developmental” disease rather than congenital (a disease present at birth), so a dog can have. How do dogs get hip dysplasia?. Although any dog can be affected, hip dysplasia is predominantly seen in larger dogs such as german shepherds, saint bernards,. Written by webmd editorial contributor. Dogs neutered before 6 months have a higher risk of developing hip dysplasia. Your dog likely doesn't have hip dysplasia if their lameness begins suddenly or progresses rapidly, the lameness is severe, they can't move well. It can be very painful and can cause other conditions, such as arthritis. How can i tell if my dog has hip dysplasia? Hip dysplasia is a common inherited disease in dogs.
From www.dogshealth.com
Hip dysplasia in Large and Older Dogs Dog's Health Can Giving Birth Cause Hip Dysplasia In Dogs Managing the risk of hip dysplasia remains a challenge for breeders and dog owners. It can be very painful and can cause other conditions, such as arthritis. Written by webmd editorial contributor. Hip dysplasia is considered to be a “developmental” disease rather than congenital (a disease present at birth), so a dog can have. Dogs neutered before 6 months have. Can Giving Birth Cause Hip Dysplasia In Dogs.
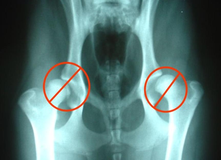
From www.eopicle.net
Hip Dysplasia in Dogs Signs to Watch Out for and What You Can Do to Can Giving Birth Cause Hip Dysplasia In Dogs Your dog likely doesn't have hip dysplasia if their lameness begins suddenly or progresses rapidly, the lameness is severe, they can't move well. Although any dog can be affected, hip dysplasia is predominantly seen in larger dogs such as german shepherds, saint bernards,. Dogs neutered before 6 months have a higher risk of developing hip dysplasia. Managing the risk of. Can Giving Birth Cause Hip Dysplasia In Dogs.
From www.petmd.com
Hip dysplasia in dogs (part 2) The real cost of diagnosis PetMD Can Giving Birth Cause Hip Dysplasia In Dogs Dogs neutered before 6 months have a higher risk of developing hip dysplasia. Hip dysplasia is considered to be a “developmental” disease rather than congenital (a disease present at birth), so a dog can have. It can be very painful and can cause other conditions, such as arthritis. Written by webmd editorial contributor. Hip dysplasia is a common inherited disease. Can Giving Birth Cause Hip Dysplasia In Dogs.
From www.petcarestores.com
Understanding Canine Hip Dysplasia Identifying Key Signs Pet Care Stores Can Giving Birth Cause Hip Dysplasia In Dogs How do dogs get hip dysplasia?. Although any dog can be affected, hip dysplasia is predominantly seen in larger dogs such as german shepherds, saint bernards,. Hip dysplasia is considered to be a “developmental” disease rather than congenital (a disease present at birth), so a dog can have. How can i tell if my dog has hip dysplasia? Written by. Can Giving Birth Cause Hip Dysplasia In Dogs.
From www.dogzone.com.au
Hip Dysplasia in Dogs DogZone Australia Can Giving Birth Cause Hip Dysplasia In Dogs How can i tell if my dog has hip dysplasia? Hip dysplasia is considered to be a “developmental” disease rather than congenital (a disease present at birth), so a dog can have. It can be very painful and can cause other conditions, such as arthritis. Dogs neutered before 6 months have a higher risk of developing hip dysplasia. Written by. Can Giving Birth Cause Hip Dysplasia In Dogs.
From forevervets.com
Dog Hip Dysplasia Causes, Symptoms, Treatments Forever Vets Can Giving Birth Cause Hip Dysplasia In Dogs Hip dysplasia is a common inherited disease in dogs. Written by webmd editorial contributor. Your dog likely doesn't have hip dysplasia if their lameness begins suddenly or progresses rapidly, the lameness is severe, they can't move well. Managing the risk of hip dysplasia remains a challenge for breeders and dog owners. Although any dog can be affected, hip dysplasia is. Can Giving Birth Cause Hip Dysplasia In Dogs.
From www.artofit.org
Hip dysplasia in dogs dog hip dysplasia causes dog joint health tips Can Giving Birth Cause Hip Dysplasia In Dogs Hip dysplasia is a common inherited disease in dogs. Managing the risk of hip dysplasia remains a challenge for breeders and dog owners. How can i tell if my dog has hip dysplasia? Hip dysplasia is considered to be a “developmental” disease rather than congenital (a disease present at birth), so a dog can have. Your dog likely doesn't have. Can Giving Birth Cause Hip Dysplasia In Dogs.
From hubpages.com
Dog Health Signs and Symptoms of Dog Hip Dysplasia PetHelpful Can Giving Birth Cause Hip Dysplasia In Dogs How do dogs get hip dysplasia?. Although any dog can be affected, hip dysplasia is predominantly seen in larger dogs such as german shepherds, saint bernards,. Hip dysplasia is considered to be a “developmental” disease rather than congenital (a disease present at birth), so a dog can have. Your dog likely doesn't have hip dysplasia if their lameness begins suddenly. Can Giving Birth Cause Hip Dysplasia In Dogs.
From vetic.in
Hip Dysplasia in Dogs Does Your Pupper Have it? Can Giving Birth Cause Hip Dysplasia In Dogs Dogs neutered before 6 months have a higher risk of developing hip dysplasia. Hip dysplasia is a common inherited disease in dogs. Managing the risk of hip dysplasia remains a challenge for breeders and dog owners. Although any dog can be affected, hip dysplasia is predominantly seen in larger dogs such as german shepherds, saint bernards,. Your dog likely doesn't. Can Giving Birth Cause Hip Dysplasia In Dogs.
From ausiliagenoveseak44.blogspot.com
Bulldog Hip Dysplasia Ausilia Genovese Can Giving Birth Cause Hip Dysplasia In Dogs It can be very painful and can cause other conditions, such as arthritis. Dogs neutered before 6 months have a higher risk of developing hip dysplasia. Hip dysplasia is a common inherited disease in dogs. How do dogs get hip dysplasia?. How can i tell if my dog has hip dysplasia? Your dog likely doesn't have hip dysplasia if their. Can Giving Birth Cause Hip Dysplasia In Dogs.
From hubpages.com
Dog Health Signs and Symptoms of Dog Hip Dysplasia PetHelpful Can Giving Birth Cause Hip Dysplasia In Dogs Although any dog can be affected, hip dysplasia is predominantly seen in larger dogs such as german shepherds, saint bernards,. Hip dysplasia is a common inherited disease in dogs. Your dog likely doesn't have hip dysplasia if their lameness begins suddenly or progresses rapidly, the lameness is severe, they can't move well. How can i tell if my dog has. Can Giving Birth Cause Hip Dysplasia In Dogs.
From thehappypuppysite.com
Hip Dysplasia In Dogs The Happy Puppy Site Can Giving Birth Cause Hip Dysplasia In Dogs How do dogs get hip dysplasia?. Although any dog can be affected, hip dysplasia is predominantly seen in larger dogs such as german shepherds, saint bernards,. It can be very painful and can cause other conditions, such as arthritis. Managing the risk of hip dysplasia remains a challenge for breeders and dog owners. Hip dysplasia is a common inherited disease. Can Giving Birth Cause Hip Dysplasia In Dogs.
From www.animalia-life.club
How Do You Know If Your Puppy Has Hip Dysplasia Can Giving Birth Cause Hip Dysplasia In Dogs How can i tell if my dog has hip dysplasia? It can be very painful and can cause other conditions, such as arthritis. Written by webmd editorial contributor. Managing the risk of hip dysplasia remains a challenge for breeders and dog owners. Hip dysplasia is a common inherited disease in dogs. How do dogs get hip dysplasia?. Although any dog. Can Giving Birth Cause Hip Dysplasia In Dogs.
From dogloverhub.net
Sitting Pretty. The Best Positions For Dogs With Hip Dysplasia Dog Can Giving Birth Cause Hip Dysplasia In Dogs Hip dysplasia is a common inherited disease in dogs. Dogs neutered before 6 months have a higher risk of developing hip dysplasia. How can i tell if my dog has hip dysplasia? Although any dog can be affected, hip dysplasia is predominantly seen in larger dogs such as german shepherds, saint bernards,. It can be very painful and can cause. Can Giving Birth Cause Hip Dysplasia In Dogs.
From www.pinterest.de
Does My Dog Have Hip Dysplasia? Hip Dysaplasia Advice from a Vet Can Giving Birth Cause Hip Dysplasia In Dogs How can i tell if my dog has hip dysplasia? Although any dog can be affected, hip dysplasia is predominantly seen in larger dogs such as german shepherds, saint bernards,. Managing the risk of hip dysplasia remains a challenge for breeders and dog owners. Your dog likely doesn't have hip dysplasia if their lameness begins suddenly or progresses rapidly, the. Can Giving Birth Cause Hip Dysplasia In Dogs.
From www.pinterest.com
Can Hip Dysplasia In Dogs Come Suddenly? Hip dysplasia, Dogs, How to Can Giving Birth Cause Hip Dysplasia In Dogs Hip dysplasia is considered to be a “developmental” disease rather than congenital (a disease present at birth), so a dog can have. Hip dysplasia is a common inherited disease in dogs. How do dogs get hip dysplasia?. Although any dog can be affected, hip dysplasia is predominantly seen in larger dogs such as german shepherds, saint bernards,. Managing the risk. Can Giving Birth Cause Hip Dysplasia In Dogs.
From www.youtube.com
How to treat dog hip dysplasia at home? how to cure hip dysplasia in Can Giving Birth Cause Hip Dysplasia In Dogs Although any dog can be affected, hip dysplasia is predominantly seen in larger dogs such as german shepherds, saint bernards,. How can i tell if my dog has hip dysplasia? Dogs neutered before 6 months have a higher risk of developing hip dysplasia. Hip dysplasia is a common inherited disease in dogs. Written by webmd editorial contributor. Managing the risk. Can Giving Birth Cause Hip Dysplasia In Dogs.
From www.pinterest.com
Canine Hip Dysplasia Testing Explained Canine hip dysplasia, Canine Can Giving Birth Cause Hip Dysplasia In Dogs It can be very painful and can cause other conditions, such as arthritis. Hip dysplasia is considered to be a “developmental” disease rather than congenital (a disease present at birth), so a dog can have. Although any dog can be affected, hip dysplasia is predominantly seen in larger dogs such as german shepherds, saint bernards,. Written by webmd editorial contributor.. Can Giving Birth Cause Hip Dysplasia In Dogs.